首页
搜索
分类
账户
访客
登录
购物车
收藏 (
0
)
品牌
0
购物车
0
收藏
订单
报价
首页
联系我们
0
0
登录
联系我们
商店
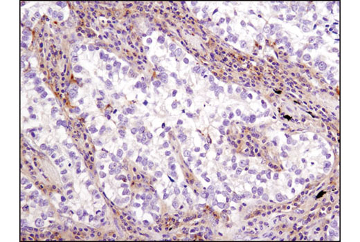
LKB1 (D60C5F10) Rabbit mAb (IHC Formulated)
LKB1 (D60C5F10) Rabbit mAb (IHC Formulated)
/shop/003-13031t-lkb1-d60c5f10-rabbit-mab-ihc-formulated-20ul-26815
期货待确认
¥
1,680.00
1680.0
CNY
¥
1,680.00
¥
1,680.00
此组合不存在。
加购物车
添加收藏
目录号:
13031T
计量单位:
PC
商品规格:
20ul
CST
分享商品:
LKB1 (D60C5F10) Rabbit mAb (IHC Formulated)
¥
1,680.00
规格
无规格
这是用户近期浏览商品预览.
只要用户查看过一个商品这个片断就会显示.
×
近期浏览商品